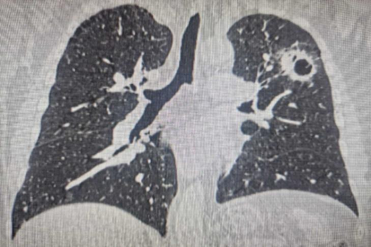
Первая онкологическая операция у пациента, проведенная три года назад, касалась центрального рака правого легкого. Вместо полного удаления легкого, врачи выполнили органосохраняющую операцию – бронхоангиопластическую верхнюю лобэктомию. Это позволило удалить пораженную часть легкого вместе с бронхами и сосудами, сохранив при этом две трети органа. Это стало возможным благодаря предоперационной химиоиммунотерапии, уменьшившей опухоль.
Через год у пациента был вновь диагностирован рак, но уже в левом легком. Эта локализация была обнаружена на очень ранней стадии благодаря регулярному наблюдению. Как пояснил заведующий торакальным отделением № 3 Вадим Козлов, возможность оперировать второе легкое стала реальной только потому, что первое было сохранено. «Технически выполнить операцию на единственном легком невозможно. Если мы его отключим, то дышать пациенту будет нечем», – отметил врач. Удаление сегмента второго легкого уже проводилось эндоскопически.
Параллельно с этим, между операциями на легких, у пациента обнаружили рак щитовидной железы. Ему провели удаление щитовидной железы с последующей радиойодтерапией. Несмотря на три успешно перенесенных заболевания и операции, рак начал прогрессировать, и сейчас пациент проходит курс химиотерапии. Вадим Козлов подчеркивает, что если бы в первом случае было выполнено полное удаление легкого, лечение на этом бы закончилось.
«Рано или поздно возникает рецидив. Но мы можем продлевать жизнь, дольше создавать ремиссию благодаря современной лекарственной терапии, таргетной иммунотерапии, современным подходам к хирургическому лечению рака легкого», – обнадеживает Вадим Козлов.
Он добавил, что бронхоангиопластические операции, позволяющие сохранить легочную ткань, проводятся все чаще, что дает пациентам больше шансов на полноценную жизнь. Как отмечают в Минздраве региона, успешное перенесение подобных операций зависит от общего состояния здоровья пациента, и врачи сталкиваются с сопутствующими заболеваниями, такими как ХОБЛ, ожирение, диабет и сердечно-сосудистые проблемы. Тем не менее, статистика показывает, что есть пациенты, которые живут значительно дольше, например, один из пациентов врача после удаления части легкого более 10 лет назад, практически забыл о своем заболевании и живет полноценной жизнью.
По данным специалистов, первое место в структуре заболеваемости онкологией в Новосибирской области по-прежнему занимает рак кожи, второе – рак молочной железы, третье место – рак простаты. Все эти патологии, как правило, выявляются или при визуальном осмотре, или после простых исследований – анализа крови на специфичные маркеры, флюорографии и компьютерной томографии. Если стадия выявлена небольшая, она успешно лечится.




