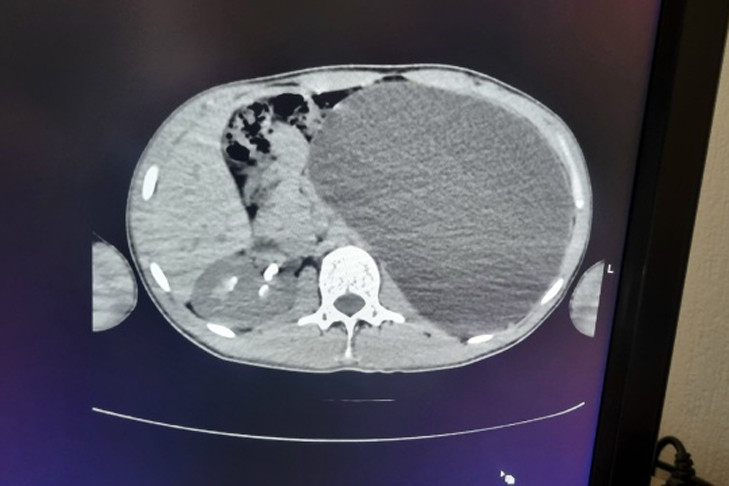
«Это была случайная находка. Парень к нам поступил из амбулаторного звена. Он устраивался на работу. Ему перед трудоустройством сделали УЗИ, нашли объемное образование в брюшной полости. Мы стали обследовать, оказалось, что это гидронефроз левой почки с отсутствием паренхимы (основная ткань органа, выполняющая его функции – примечание)», – отметила детский хирург-уролог Ирина Живолуп.
Как уточняет пресс-служба регионального Минздрава, гидронефроз – это заболевание почки, которое характеризуется стойким нарастающим расширением ее полостей, атрофией почечной паренхимы в результате нарушения циркуляции крови и оттока мочи из почки. Эта патология приводит к повышению внутрилоханочного давления и повреждению почечной ткани. Часто гидронефроз длительное время протекает бессимптомно и обнаруживается случайно при ультразвуковом обследовании.
«У нашего пациента почка достигла размеров пятилитровой бутылки! Она занимала почти весь объем живота и давила на все соседние органы. Это была настоящая «бомба замедленного действия»: любая травма, случайный удар в живот – и мешок мог разорваться внутри», – рассказали в ДГКБ № 1.
Операцию провели хирурги Ирина Живолуп, Максим Климович и Денис Быков. Им пришлось фактически доставать «пятилитровую бутылку» через «замочную скважину». Через четыре небольших прокола они откачали всю скопившуюся жидкость, а затем удалили орган. Пациент идет на поправку. После выписки он сможет выйти на работу.




